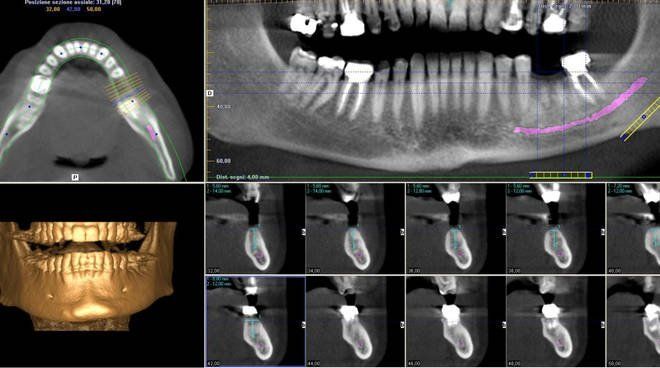
Cone Beam 3D
Ulteriore metodica di ultima generazione, la Cone Beam 3D, disponibile presso il Centro di Sciacca e di Ribera, si avvale di raggi X per acquisire una porzione del massiccio facciale, in particolare le arcate dentarie. La Cone Beam 3D viene utilizzata prevalentemente nella valutazione pre-operatoria in implantologia dentale.
Il macchinario
Il macchinario di recente installazione che utilizziamo al Centro Radiologia Tagliavia, la Cone Beam Orthophos SL, permette l’acquisizione del volume desiderato in pochi secondi e attraverso le tecniche di post-processing e le ricostruzioni 3D, consente una migliore pianificazione pre-operatoria (misurazioni, densità) e una immediata visualizzazione delle arcate dentarie.
Con la stessa attrezzatura, e un ulteriore riduzione della dose di radiazioni, effettuiamo le ortopantomografie 2D (OPT), di più comune impiego nella diagnostica dentale.
Cosa studia
La Cone Beam 3D consente una riduzione nella dose di radiazioni somministrate rispetto a una TAC dentale, con buona qualità diagnostica limitatamente allo studio delle arcate dentarie: morfologia, altezza e spessore dell’osso sede di impianto, inclusioni dentarie (rapporti con il canale mandibolare), studio dell'articolazione temporo-mandibolare.
Quando evitare
L'esposizione alle RI della Cone Beam 3D sono assolutamente vietate sulle donne in gravidanza, salvo quando la paziente si trova in pericolo di vita. Vanno ridotte al minimo indispensabile sulle donne in età fertile e sui minori. Inoltre, ogni qualvolta è possibile ottenere le stesse informazioni diagnostiche tramite pratiche non invasive, andrà escluso l’utilizzo del RI.
Chiamate la nostra sede a Sciacca per maggiori informazioni










